Ортодонтические аппараты
Мир современной ортодонтии для детей и подростков — прогрессивный и разнообразный. Он не ограничивается только лишь всем известными брекетами и элайнерами, а предлагает широкий выбор ортодонтических аппаратов. Эти аппараты могут быть съемными и несъемными. Они применяются как самостоятельный метод лечения, а могут служить этапом подготовки к брекетам или работать в сочетании с миофункциональными упражнениями или элайнерами.
При таком разнообразии ортодонтических аппаратов несомненно нужен проводник — ортодонт, который расскажет об особенностях каждого метода и подберет оптимальное решение. Если вам интересно узнать больше о видах аппаратов или получить консультацию — ортодонтический центр Улыбнись! готов помочь в этом!
Виды ортодонтических аппаратов в центре ортодонтии Улыбнись!
Съемные ортодонтические аппараты
Несъемные ортодонтические аппараты
- Аппарат Гербста
Металлическая конструкция с двумя шарнирами, соединяющими верхнюю и нижнюю дуги либо крепящимися к зубным кольцам. Основной принцип действия — постоянное удержание нижней челюсти с постепенным стимулированием ее роста и перестройкой сустава.
Показания:
- класс II, подразделение 1 и 2, ретрогнатия нижней челюсти;
- дисфункции ВНЧС в рамках ортодонтического лечения.
- Аппарат Дерихсвайллера
Устанавливается на верхние моляры и премоляры с помощью кольцевых фиксаторов. Применяется для расширения челюстных дуг посредством бокового воздействия на костную ткань.
Показания:
- трансверзальные дефекты прикуса, требующие расширения зубных дуг. - Аппарат Хааса
Это расширитель верхней челюсти с винтовым механизмом, который оказывает воздействие на костную ткань неба за счет постепенного и контролируемого расширения. В отличие от других пластинчатых расширителей, аппарат Хааса более эффективен для активации костной и мягкотканной структур.
Показания:
- узкая верхняя челюсть;
- необходимость расширения зубных дуг для создания пространства;
- подготовка к дальнейшему ортодонтическому лечению несъемными аппаратами.
- Твин Форс
Устройство с механизмами для активного вытяжения и стимуляции роста нижней челюсти. Внешне напоминает конструкцию с тягами, крючками и фиксаторами. Стимулирует развитие нижней челюсти за счет динамических тяговых усилий.
Показания: прогрессирующее недоразвитие нижней челюсти.
Преимущества и недостатки аппаратов при лечении детей и подростков
Съемные ортодонтические аппараты
ㅤ
Несъемные ортодонтические аппараты
Этапы лечения на ортодонтических аппаратах
Изготавливаем аппараты в своей ЗТЛ
Такой подход позволяет учитывать анатомические особенности и специфику проблем пациента, что повышает эффективность лечения. А еще:
✓ используем высококачественные и безопасные материалы;
✓ применяем новейшие технологии для точности и долговечности изделий;
✓ изготавливаем быстро, даем гарантию и оперативно реагируем на поломки;
✓ гибко подходим к дизайну — учитываем эстетические предпочтения.
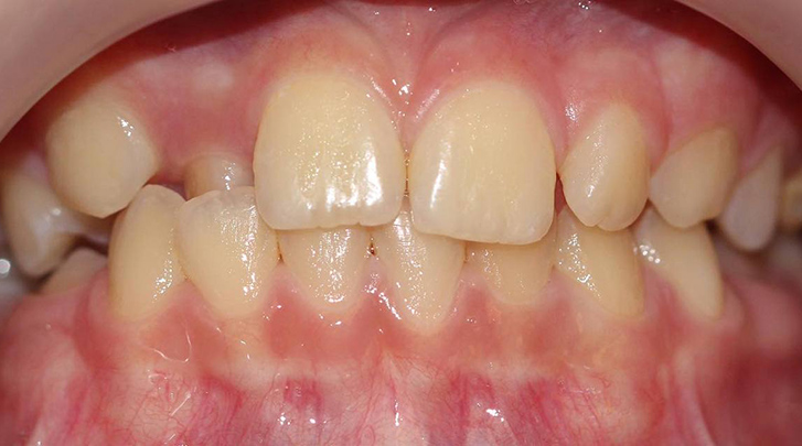
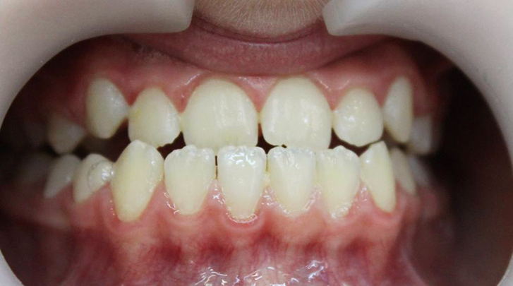
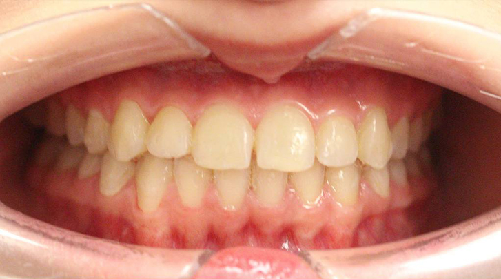
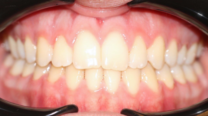
Улыбки пациентов
Стоимость лечения на ортодонтических аппаратах
- аппарат, подбор его размера и вида, сдача и обучение ношению.
- аппарат, подбор его размера и вида, сдача и обучение ношению.
- аппарат, подбор его размера и вида, сдача и обучение ношению.
- аппарат, подбор его размера и вида, сдача и обучение ношению.
- пластинка, планирование ее конструкции, изготовление, сдача и обучение ношения. Стоимость активации пластинки 1000 рублей.
- пластинка, планирование ее конструкции, изготовление, сдача и обучение ношения. Стоимость активации пластинки 1000 рублей.
Часто задаваемые вопросы
Какой средний срок лечения на ортодонтической аппаратуре?
Какие особенности ношения несъемных аппаратов существуют?
1. Постоянное ношение. Эффективность лечения зависит от непрерывного ношения аппарата.
2. Ограничения в питании. Рекомендуется избегать жесткой, липкой и твердой пищи, которая может повредить аппарат.
3. Уход за полостью рта. Необходимо тщательно следить за гигиеной полости рта: чистить зубы щеткой и нитью после каждого приема пищи.
4. Регулярные контрольные визиты. Важно регулярно посещать ортодонта для регулировки и контроля за прогрессом лечения.
5. Дискомфорт после установки. В первое время пациенты могут испытывать дискомфорт или болезненность зубов, что является нормальной реакцией на давление, оказываемое аппаратами.
В некоторых случаях, например, при использовании функциональных аппаратов, таких как аппарат Хааса, может потребоваться помощь родителей. Иногда им необходимо «подкручивать» аппарат для обеспечения нужного эффекта расширения или корректировки положения челюсти. Это делается с помощью специального ключа или инструмента, который выдаст ортодонт вместе с четкими инструкциями.
Аппараты для взрослых применяются?
Главный врач Центра, врач-ортодонт, ведущий специалист
врач-ортодонт, ведущий специалист
26 лет стажа
врач-ортодонт, врач высшей категории
8 лет стажа
врач-ортодонт
8 лет стажа
врач-ортодонт, ведущий специалист
12 лет стажа
врач-ортодонт
5 лет стажа
врач-ортодонт, врач высшей категории
24 года стажа
врач ортодонт
3 года стажа
ул. Блюхера, д. 30, 630073
Перерыв 14:00—15:00
понедельник и четверг с 12:00—14:00, по предварительной записи






