Кузнецова Юлия Владимировна
Кузнецова Юлия Владимировна
врач-ортодонт, врач высшей категории
25 лет стажа
Специализации
Эстетическая ортодонтия
Ортодонтия для детей
Подготовка к протезированию
Принимаемые пациенты
Взрослые
Дети
Подростки
«Улыбка — солнце. Она прогоняет с человеческого лица зиму» сказал Виктор Гюго.
Профессия ортодонт — это мой осознанный выбор. Красивые зубы и правильный прикус — не просто эстетика. Это про здоровье, более высокое качество жизни, любовь и заботу о себе. Душа ликует, когда отдаешь частичку себя человеку, и он в ответ тебе счастливо улыбается.
Образование
Квалификация:
врач-ортодонт
Сертификат до:
03.10.2025 г.
1996-2001 г.
Обучение в Новосибирской Медицинской Академии, стоматологический факультет
2001-2003 г.
Клиническая ординатура при Новосибирской Государственной Медицинской Академии, полный курс по специальности «Ортодонтия»
Обучение новым технологиям
2018 г.
О.И. Арсенина: «Дисфункция височно-нижнечелюстного сустава. Мифы и реальность. Точка зрения врача ортодонта», г. Новосибирск.
2018 г.
Б.Б. Жахонгиров: «Психологическое взаимодействие при оказании стоматологических услуг. Конфликт с пациентом. Стратегии поведения в конфликте», г. Москва.
2018 г.
Р.А. Фадеев: «Рост лица. Скелетные и зубоальвеолярные формы аномалий. Дифференциальная диагностика. Особенности лечения зубочелюстных аномалий в различные возрастные периоды», г. Новосибирск.
2019 г.
С. Попов: «Evolution of Achieving Successful Result. Biomechanics in Orthodontic Practice: Past and Present», г. Тбилиси.
2019 г.
П. Вергара: «Ортодонтия за пределами возможностей. Уникальный курс по мини-винтам», г. Сочи.
2019 г.
Б. Нурзулаев: «Standard Edgewise Technique in Contemporary Orthodontics», г. Алматы.
2019 г.
Jeong IL KIM: «MEAW Typodont Course», г. Нурсултан.
2019 г.
Участник Сибирского ортодонтического форума, г. Новосибирск.
2019 г.
Б. Нарзулаев: «Early Orthopedic and Orthodontics Treatment», г. Иркутск.
2019 г.
Б. Нарзулаев: «Micro-implants — Absolute Anchorage in Orthodontics Treatment», г. Иркутск.
2020 г.
Л.А Хорольская: «Лечение патологии второго класса. Взгляд снаружи и изнутри», г. Новосибирск.
2020 г.
А.И. Фазлиев: «Лекционно-практический курс по междисциплинарному ведению пациентов с функциональной реабилитацией зубочелюстной системы. Диагностика ВНЧС. Окклюзионная сплинт-терапия», г. Новосибирск.
2020 г.
А.И. Фазлиев: «Подробно о сложном. Биомеханика. Принципы лечения различных аномалий прикуса», г. Новосибирск.
2021 г.
А.И. Фазлиев: «Подробно о сложном. Секционно-практический курс по минивинтам. Абсолютный анкораж в практике врача ортодонта», г. Новосибирск.
2021 г.
У.Антошкиев: «Искусство дизартикуляции или доступно о накладках: Где? Когда? Зачем?», г. Новосибирск.
2021 г.
Т.В. Захарова: «Цена и ценность ортодонтических ошибок», г. Новосибирск.
2021 г.
С.А. Блум: «Частичная ортодонтия. Практика для ортодонтов», г. Новосибирск.
2021 г.
А.С. Ермаков: «Вертикальный подход к планированию и коррекции сагиттальный аномалий», г. Москва.
2021 г.
Д.К. Юдин, С.А. Гетте: «Здоровый сустав», г. Новосибирск.
2021 г.
А. Плаксин: «КЛКТ как базовый инструмент планирования ортодонтического лечения и использования скелетной опоры», г. Новосибирск.
2021 г.
Д. Богатырьков: «Если удаляешь, значит понимаешь», г. Санкт-Петербург.
2022 г.
«Краниофациальный рост — друг, враг, безучастный наблюдатель?», г. Иркутск, Лендельгольц, Ж.
2022 г.
«Движение без опасности. Основы пародонтологии для ортодонтов», г. Новосибирск, Приямпольская М.Б.
2022 г.
«Ортодонтическое лечение детей. Лечение 2 класса без удаления», г. Иркутск, Богатырьков Д.В.
2022 г.
«Гнатологический срез в ортодонтии», г. Иркутск, Богатырьков Д. В.
2022 г.
«Ассиметрия», г. Иркутск, Богатырьков Д.В.
2023 г.
«Железная логика. Сохранять или удалять. Алгоритм принятия решения», г. Новосибирск, Кулаев Ю.Т.
2023 г.
«Лечение вертикальных и сагиттальных аномалий у взрослых», г. Новосибирск, Тихонов А.
2024 г.
«Планирование и лечение II класса», г. Новосибирск, Ленденгольц Ж.А.
Профессиональные навыки
Лечение подростков и взрослых со скелетными нарушениями прикуса
Командная работа с стоматологом - ортопедом и хирургом .
Лечение сложных ортодонтических патологий у детей и взрослых пациентов
Контроль и улучшение эстетики лица
Выведение сложных ретенированных зубов
Современная ортодонтическая диагностика,включая 3D-цефалометрический анализ
Лечение ВНЧС
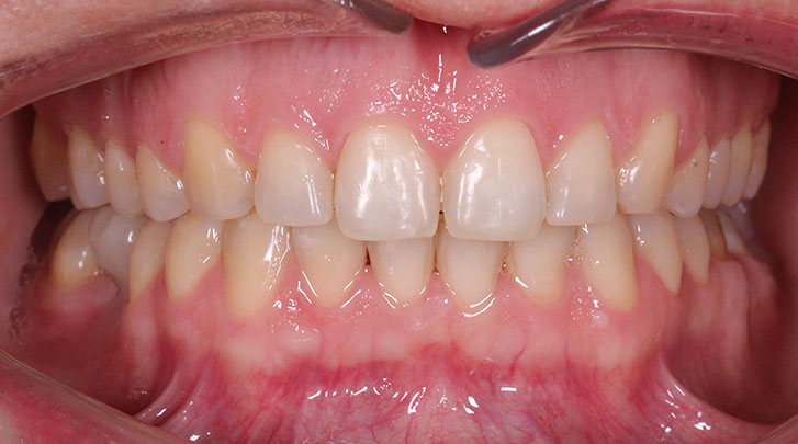
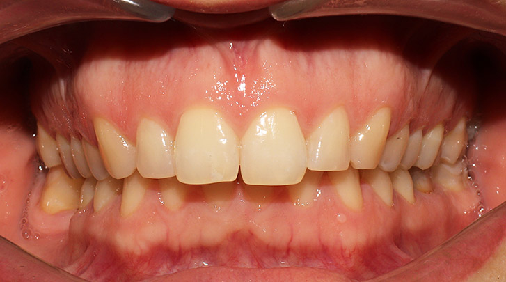
Улыбки пациентов
Стоимость услуг врача в ЦО Улыбнись!
Врач является врачом высшей категории и принимает по повышенному прайсу. Подробнее о категориях врачей в Улыбнись!
КОНСУЛЬТАЦИЯ ОРТОДОНТА
Консультация врача-ортодонта первичная для детей, подростков, взрослых
от 1 100 руб.
ДИАГНОСТИКА
Полная диагностика до ортодонтического лечения
от 9 800 руб.
Стоимость включает:
- cнятие альгинатного оттиска с челюстей, сканирование, определение прикуса, изготовление контрольной модели при ортодонтическом лечении, антропометрические исследования, анализ ТРГ, фотографирование, составление плана лечения.
Функциональная диагностика с использованием артикулятора
от 20 700 руб.
Стоимость включает:
- определение вида смыкания зубных рядов с помощью лицевой дуги, снятие альгинатного оттиска с одной челюсти, сканирование, определение прикуса, изготовление контрольной модели при ортодонтическом лечении, антропометрические исследования, гипсовка в артукулятор, фотографирование.
Миостимуляционная терапия ТЕНС (1 процедура)
от 16 100 руб.
ЛЕЧЕНИЕ С ИСПОЛЬЗОВАНИЕМ БРЕКЕТОВ
Лечение с использованием брекетов металлических Mini Diamond, Biomim
от 149 000 руб.
Стоимость включает:
- брекеты Mini Diamond, Biomim на одну челюсть, их фиксация, ежемесячные посещения по активации аппаратуры, снятие брекетов, ретенционные (удерживающие) аппараты.
Система оплаты:
100 000 рублей – первоначальный взнос. Оставшаяся сумма разбивается на равные ежемесячные взносы, относительно составленной сметы на исправление прикуса металлическими брекетами на 18 месяцев (ежемесячный взнос в среднем 11 100 рублей).
Лечение с использованием брекетов самолигирующих Damon Q, H4, Pitts21
от 169 000 руб.
Стоимость включает:
- брекеты Damon Q, H4, Pitts21 на одну челюсть, установка брекетов, ежемесячные посещения по активации аппаратуры, снятие брекетов, ретенционные (удерживающие) аппараты.
Система оплаты:
100 000 рублей – первоначальный взнос. Оставшаяся сумма разбивается на равные ежемесячные взносы, относительно составленной сметы выравнивания зубов брекетами на 18 месяцев (ежемесячный взнос в среднем 11 100 рублей).
Лечение с использованием керамических брекетов самолигирующих Damon Clear
от 218 000 руб.
Стоимость включает:
- брекеты Damon Clear на нижнюю или верхнюю челюсть, установка брекетов, ежемесячные посещения по активации аппаратуры, снятие брекетов, ретенционные (удерживающие) аппараты.
Система оплаты:
120 000 рублей – первоначальный взнос. Оставшаяся стоимость установки брекетов разбивается на равные ежемесячные взносы, относительно составленной сметы на лечение на 18 месяцев (ежемесячный взнос в среднем 10 000 рублей).
ЛЕЧЕНИЕ С ИСПОЛЬЗОВАНИЕМ СЪЕМНЫХ ПРОЗРАЧНЫХ КАП
С применением элайнеров "FlexLigner" на 1 челюсти
от 305 900 руб.
Стоимость включает:
- виртуальный сетап, капы на весь период лечения, удерживающие аппараты после окончания лечения.
С применением элайнеров "Dental Align", цена за одно изделие
от 8 500 руб.
Стоимость включает:
- Цена за одно изделие - элайнеры для выравнивания зубов "Dental Align". Стоимость всего лечения на элайнерах зависит от индивидуальных параметров и количества кап, которое будет необходимо применить.






