Белова Олеся Викторовна
Белова Олеся Викторовна
врач-ортодонт, ведущий специалист
27 лет стажа
Сертификат до: 27.09.2027 г.
Специализации
Эстетическая ортодонтия
Сложная ортодонтия
Подготовка к протезированию
Принимаемые пациенты
Взрослые
Дети
Подростки
Я считаю, что врач-ортодонт не может иметь неровные зубы. Поэтому я на себе испытала весь процесс лечения. Ощущения только положительные! Меня очень радует, что в ортодонтии технологии не стоят на месте, и появились замечательные брекеты Damon. Мне нравиться с ними работать! Ведь с помощью этих брекетов уменьшаются показания к удалению зубов. Но самое главное, что в результате лечения мы получаем не только ровные зубы, но и широкую, открытую и привлекательную улыбку!»
Образование
Квалификация:
врач-ортодонт
Сертификат до:
27.09.2027 г.
1994-1999 г.
Обучение в Новосибирской Медицинской Академии, стоматологический факультет
1999-2000 г.
Клиническая ординатура при Новосибирской Медицинской Академии по специальности «Ортодонтия»
2007 г.
Повышение квалификации по специальности «Ортодонтия»
2012 г.
Повышение квалификации по специальности «Ортодонтия»
2017 г.
Повышение квалификации по специальности «Ортодонтия»
Обучение новым технологиям
2000 г.
«Alexander DISCIPLINE» (Базовый курс дисциплины Александер)
2002 г.
«Alexander Discipline on Treatment of class III malocclusion», Новосибирск
2004 г.
«Ретенция и рецидив», Герасимов С.Н., Новосибирск
2005 г.
«Междисциплинарный подход к лечению пациентов с зубочелюстными аномалиями», Новосибирск
2006 г.
«Актуальные вопросы ортодонтии», Новосибирск
2007 г.
«The Damon tips and tricks roadshow», Петер Ван Херден, Москва
2007 г.
«Актуальные вопросы ортодонтии»
2008 г.
«The Incognito Lingual bracket system certificating Course» (Техника лингвальных брекетов Инкогнито), Санкт-Петербург
2008 г.
«Функциональная диагностика», клиническая гнатология, Лопухина Н.Б.
2008 г.
Поездка в Германию в клинику доктора Вихмана и на завод по производству лингвальных брекетов «Инкогнито»
2008 г.
«Менеджмент в ортодонтии», доктор Х.Зеехольцер, Новосибирск
2009 г.
Брекет-система STb, «Система orapix и лингвальная техника прямой дуги», Дидье Фийон, Санкт-Петербург
2010 г.
«Комплексное лечение пациентов: ортодонт-хирург-ортопед», Д.Ханс Теобальд Шремс, Новосибирск
2010 г.
«Современный подход в организации работы клиники» д-р Ханс Зеехольцер, Новосибирск
2011 г.
«STB как легкая лингвальная система с использованием прямых дуг», D.Giuseppe Scuzzo, Москва
2012 г.
«Диагностика и лечение пациентов с дисфункцией ВНЧС: клинически оправданный подход», др. С.А.Блум, Новосибирск
2012 г.
Семинар и типодонт-курс «Лингвальная ортодонтия», Dr.Rafi Romano, Dr.Silvia Geron, 20-21 октября, Санкт Петербург
2012 г.
Конференция «Эффективные решения в лечение сложных случаев», Dr.Dirk Kujat, 17 ноября, Новосибирск
2014 г.
«Управление процессом лечения с помощью адекватного планирования и эффективного использования несъемного индивидуального аппарата INCOGNITO», Афанасьева О.Е., 17 марта, Москва
2014 г.
«Мастер-класс по лингвальной ортодонтии под руководстком Prof.Dr.Wiechmann», 16 марта, 15 мая, 21 сентября, 5 декабря, Москва
2014 г.
«Встреча пользователей WIN», 6 декабря
2015 г.
«II Конференция Стран Балтии по Ортогнатической Хирургии и Ортодонтии», Рига, Латвия
2015 г.
Офис курс «Комплексное ведение пациентов с мышечной дисфункцией. Лабораторный и клинический этап», Блум С.А, Санкт-Петербург
2016 г.
«Механика ортодонтического лечения», Ренато Коккони (Италия), 7-8 декабря, Москва
2016 г.
«Дни ортодонтии группы компаний «Пумпа», философия ортодонтического лечения FACE», Доминго Мартин, Ренато Коккони, Альберто Канабис, Хорхе Аяла, 9-10 декабря, Москва
2017 г.
«Подробный курс по диагностике и особенностям клинического ведения пациентов с дисфункцией ВНЧС», Блум С.А., 4-5 марта, Новосибирск
2017 г.
«Temporomandibular Disordens and Occlusion from function to esthetics», Ilia Roussou, 31.03-01.04, Санкт-Петербург
2017 г.
«Встреча друзей INCOGNITO», 8-9 апреля, Санкт-Петербург
2017 г.
Вебинар «Протокол гнатологической окклюзионной реабилитации с помощью материала Sonic Fill; формирование несъемного сплинта шаг за шагом», Блум С.А., 18 октября, Новосибирск
2017 г.
Сертификационый онлайн курс «AIRNIVOL», Vincenzo D`Anto, 28 октября, Новосибирск
2017 г.
«Встреча пользователей WIN», 5 ноября, Москва
2017 г.
Вебинар «Протокол снятия брекет-системы, технические нюансы и лайфхаки», Блум С.А., 22 ноября, Новосибирск
2017 г.
Офис-курс «Определение центрального соотношения у пациентов с дисфункцией височно-нижнечелюстного сустава», Асия Лисицына, 2 декабря, Новосибирск
2017 г.
«Ортодонтическая конференция Дентал-Сервис», 03 декабря, Новосибирск
2017 г.
«Дни ортодонтии группы компаний «Пумпа», командная работа ортопед-ортодонт», Доминго Мартин, Мария Хесус Проведо, Альберо Канабис, Ян Бакл, 9-10 декабря, Москва
2018 г.
«Актуальные вопросы планирования лечения и использования системы индивидуальных брекетов Insignia», Викторова Оксана, 31 марта, Новосибирск
2018 г.
«ЭVOLUTION. 8 ключей ортодонтического лечения», А.С.Ермаков, 28 - 29 апреля, Москва
2018 г.
«Окклюзия. Дисфункция ВНЧС. Орофациальная боль. Факты и вымыслы. Что должен знать каждый стоматолог?» Jeffrey Okeson, 19 - 20 мая, Минск
2018 г.
«Современные аспекты профилактической стоматологии», 27 - 31 августа, Новосибирск
2018 г.
«Встреча пользователей лингвальных брекетов WIN» , 21 октября, Москва
2018 г.
«Рост лица. Скелетные и зубоальвеолярные формы аномалий. Дифференциальная диагностика. Особенности лечения зубочелюстных аномалий в различные возрастные периоды» Р.А.Фадеев, 24 - 25 ноября, Новосибирск
2018 г.
«Коррекция открытого прикуса. Техника многопетлевой дуги (MEAW)», А.С.Ермаков, 12 - 13 декабря, Новосибирск
2019 г.
«Третья международная конференция по орто-фациальной хирургии и ортодонтии», 15 - 17 февраля, Москва
2019 г.
«I Всеросийский конгресс по рентгено-диагностике челюстно-лицевой области», 9 февраля, Пикассо, онлайн
2019 г.
«Дискуссия по вопросам функциональной окклюзии» Станислав Блум, Константин Ронкин Организатор HI OHI-S, 5 - 6 марта, онлайн
2019 г.
Ортодонтический конгресс. Организатор HI OHI-S, 29 - 31 марта, онлайн
2019 г.
«Психологическое взаимодействие при оказании стоматологических услуг. Стратегии поведения в конфликте» А.И. Евдокименко, 6 апреля, Новосибирск
2019 г.
«Ортодонтия за пределами возможностей» курс по мини-винтам Патриссия Вергара, 21 - 22 мая, Сочи
2019 г.
XX Съезд ортодонтов России, 23 - 25 мая, Сочи
2019 г.
«Протокол Питтса. Достижение мастерства в лечение без удаления» Вассим Бузид, 26 мая, Сочи
2019 г.
«Дискальная оккюзия. Коррекция с помощью MEAW», А.С. Невдах, 13 - 14 июня, Новосибирск
2019 г.
«Цифровая стоматология» А.А.Томчик, 9 августа, Новосибирск
2019 г.
«Сибирский ортодонтический форум», 5 - 6 октября, Новосибирск
2019 г.
Обучающий курс по инновационной системе для выравнивания зубов и исправления прикуса EUROKAPPA, 11 декабря, Новосибирск
2020 г.
«Виды и особенности ортодонтической аппаратуры.Основные концепции биомеханики в ортодонтии», 23 - 29 января, Новосибирск
2020 г.
«Ортодонтическая коррекция асимметричных состояний» А.Н. Невдах, 1 февраля, Новосибирск
2020 г.
«Интердисциплинарное взаимодействие при ведении комплексных пациентов с деформачиями челюстно-лицевой области и дисфункцией ВНЧС» Prof. Dr.Larry Wolford, 29 февраля - 1 марта, Москва
2020 г.
«Вертикальный подход к планированию и коррекции сагиттальных аномалий» Ермаков А.С., 29 - 30 августа, Санкт-Петербург
2020 г.
Сертификационный курс INVISALIGN, 18 - 19 сентября, онлайн
2020 г.
«Неотложная помощь в амбулаторной стоматологической практике, эффективная, комфортная и безопасная анестезия» Бичун А.Б., 9 - 14 ноября, Новосибирск
2021 г.
офис курс Окуневой Т.Ю. в «Клинике доброго стоматолога» Санкт Петербург
2021 г.
«Применение концепции GNM в реабилитации пациентов с проблемами окклюзии», Антон Криворотов, Новосибирск
2021 г.
«Частичная ортодонтия», г. Новосибирск, Блум С.А.
2021 г.
«Холистический подход к лечению патологий прикуса» ll Сибирский ортодонтический конгресс, Новосибирск
2021 г.
Асия Лисицина «Ортодонт и ортогнатический хирург. Готовим пациента к операции», Новосибирск
2021 г.
«Рост лицевого скелета», г. Новосибирск, Жанна Ленденгольц
2021 г.
Встреча пользователей Инвизилайн, г. Новосибирск
2022 г.
ТОП 15 Москва (лекторы Невдах А.С., Форте Е.Ф., Тюкова А.А., Реуцкий Р.А., Сенек А. Н., Куракин К.А.) Москва
2022 г.
Digital Orthodontics Congress, г. Сочи
2022 г.
Лечение 1 и 2 класса по Angle со сложной скученностью зубов у пациентов разных возрастов с учетом фенотипа десны Новосибирск
2022 г.
«Миофункциональный подход в лечении пациентов», г. Новосибирск, В. Геча
2023 г.
«Лечение ВНЧС в рамках концепции BMJO» С.Гетте, Д.Юдин
2024 г.
«Ортодонтия на стыке концепций» А.И.Фазлиев, А.В.Фазлиева
2024 г.
Диагностика и лечение пациентов с патологией прикуса и нарушением простуры, Васильева М.Б.
2024 г.
Планирование и лечение аномалий дистальной окклюзии, Ж.Ленденгольц
2024 г.
«II Сибирский ордотонтическтй конгресс», г. Новосибирск, ДентМастер
2025 г.
«Курс повышения квалификации по элайн- терапии», г. Санкт-Петербург, Flexiligner, Мочалова Галина
Профессиональные навыки
Лечение на элайнерах
Ортодонтическое лечение детей и подростков
Миофункциональное лечение
Ортодонтическая подкоговка к ортогнатической хирургии
Ортодонтическая подготовка к протезированию
Диагностика и комплексное лечение
Лечение ВНЧС
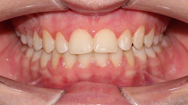
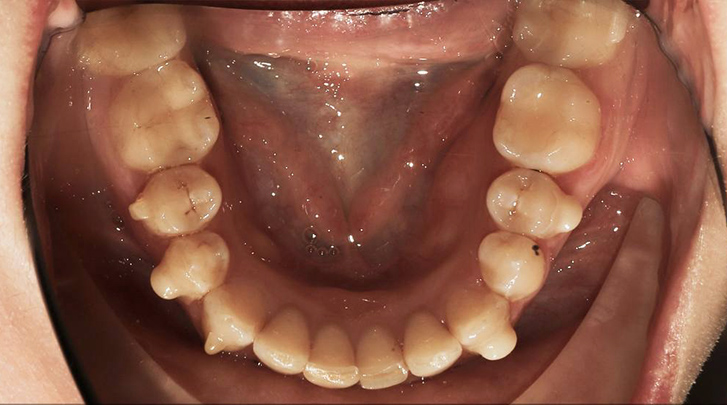
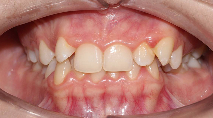
Улыбки пациентов
Стоимость услуг врача в ЦО Улыбнись!
Врач является ведущим специалистом и принимает по повышенному прайсу. Подробнее о категориях врачей в Улыбнись!
КОНСУЛЬТАЦИЯ ОРТОДОНТА
Консультация врача-ортодонта первичная для детей, подростков, взрослых
от 1 200 руб.
Консультация с брекетами, установленными в иной клинике
от 6 200 руб.
ДИАГНОСТИКА
Полная диагностика до ортодонтического лечения
от 10 600 руб.
Стоимость включает:
- cнятие альгинатного оттиска с челюстей, сканирование, определение прикуса, изготовление контрольной модели при ортодонтическом лечении, антропометрические исследования, анализ ТРГ, фотографирование, составление плана лечения.
Функциональная диагностика с использованием артикулятора
от 22 500 руб.
Стоимость включает:
- определение вида смыкания зубных рядов с помощью лицевой дуги, снятие альгинатного оттиска с одной челюсти, сканирование, определение прикуса, изготовление контрольной модели при ортодонтическом лечении, антропометрические исследования, гипсовка в артукулятор, фотографирование.
Миостимуляционная терапия ТЕНС (1 процедура)
от 17 500 руб.
Расчет телеренгенограммы
от 5 300 руб.
Коррекция съемным ортодонтическим аппаратом аквасплинт
от 25 000 руб.
ЛЕЧЕНИЕ С ИСПОЛЬЗОВАНИЕМ БРЕКЕТОВ
Лечение с использованием брекетов металлических Mini Diamond, Biomim
от 161 000 руб.
Стоимость включает:
- брекеты Mini Diamond, Biomim на одну челюсть, их фиксация, ежемесячные посещения по активации аппаратуры, снятие брекетов, ретенционные (удерживающие) аппараты.
Система оплаты:
100 000 рублей – первоначальный взнос. Оставшаяся сумма разбивается на равные ежемесячные взносы, относительно составленной сметы на исправление прикуса металлическими брекетами на 18 месяцев (ежемесячный взнос в среднем 11 100 рублей).
Лечение с использованием брекетов самолигирующих Damon Q, H4, Pitts21
от 184 000 руб.
Стоимость включает:
- брекеты Damon Q, H4, Pitts21 на одну челюсть, установка брекетов, ежемесячные посещения по активации аппаратуры, снятие брекетов, ретенционные (удерживающие) аппараты.
Система оплаты:
100 000 рублей – первоначальный взнос. Оставшаяся сумма разбивается на равные ежемесячные взносы, относительно составленной сметы выравнивания зубов брекетами на 18 месяцев (ежемесячный взнос в среднем 11 100 рублей).
Лечение с использованием керамических брекетов самолигирующих Damon Clear
от 236 000 руб.
Стоимость включает:
- брекеты Damon Clear на нижнюю или верхнюю челюсть, установка брекетов, ежемесячные посещения по активации аппаратуры, снятие брекетов, ретенционные (удерживающие) аппараты.
Система оплаты:
120 000 рублей – первоначальный взнос. Оставшаяся стоимость установки брекетов разбивается на равные ежемесячные взносы, относительно составленной сметы на лечение на 18 месяцев (ежемесячный взнос в среднем 10 000 рублей).
ЛЕЧЕНИЕ С ИСПОЛЬЗОВАНИЕМ СЪЕМНЫХ ПРОЗРАЧНЫХ КАП
С применением элайнеров "FlexLigner" на 1 челюсти
от 332 500 руб.
Стоимость включает:
- виртуальный сетап, капы на весь период лечения, удерживающие аппараты после окончания лечения.
С применением элайнеров "Dental Align", цена за одно изделие
от 8 500 руб.
Стоимость включает:
- Цена за одно изделие - элайнеры для выравнивания зубов "Dental Align". Стоимость всего лечения на элайнерах зависит от индивидуальных параметров и количества кап, которое будет необходимо применить.






